top of page
All Articles
THE DAILY PULSE


7 types of low-sugar fruits good for people with diabetes
People with diabetes can eat apples and avocados to satisfy their sweet cravings while also providing fiber, antioxidants, and supporting...
24 thg 7, 20252 phút đọc


A 163-Year-Old French-Architectural Hospital in the Heart of Ho Chi Minh City
Children's Hospital 2, after 163 years since its establishment, still retains its French architecture with ancient buildings nestled in a...
24 thg 7, 20253 phút đọc


7 Kidney Cancer Symptoms That Are Easily Overlooked
Patients often ignore early signs of kidney cancer such as blood in the urine, back pain, weight loss, fever, fatigue, swelling, or night...
24 thg 7, 20252 phút đọc


Kidney failure – the root cause of high blood pressure in young people
High Blood Pressure in Young Adults Traced Back to Kidney Failure Kiên, 29, assumed his elevated blood pressure was due to drinking too...
24 thg 7, 20254 phút đọc


How countries determine if an organ donor is brain dead
The US and UK determine brain death based on clinical evaluation and neurological reflexes, while Japan and China require a strict...
24 thg 7, 20254 phút đọc


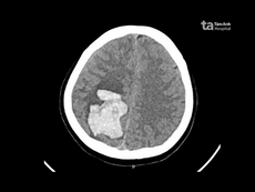
AI robot performs surgery to save pregnant woman who had a stroke due to preeclampsia
Quyen, 28, pregnant at 19 weeks, suffered a brain hemorrhagic stroke due to preeclampsia and was operated on by doctors using an AI robot...
24 thg 7, 20253 phút đọc
bottom of page
